Denplan Excel and DEPPA

On the 5th January Broad Street Dental Surgery were accredited as a Denplan Excel dental practice. In this day and age of regulation, CQC and with an emphasis now strongly weighted on prevention and educating patients we felt that the Denplan Excel programme with it’s DEPPA assessment tool would suit the practice perfectly.

The DEPPA assessment tool provides an instantaneous online report showing the patient’s Oral Health Score (OHS) alongside a detailed (and evidence based) assessment of their future risk for caries, periodontal disease, tooth surface loss and oral cancer.
deppa

The simple colour coded system clearly show the risk level of the patient and also provides general advice. DEPPA provides an additional tool for the general dental practitioner to communicate effectively with each patient and can be used to reinforce good habits as well as encouraging change. It seems very similar to the NHS pilots currently being trailed and reinforces the need for the need to risk assess each patient. from a Medico-legal angle providing a detailed DEPPA assessment of each patient outlining their Caries, Periodontal, Tooth wear and Oral Cancer risk would be a very useful adjunct to any clinical records.

During the Denplan Excel Accreditation process, practice policies, cross-infection protocols and procedures, clinical records, treatment planning, IR(ME)R, health and safety and CPD were all examined in some detail. This provided an excellent preparation for future CQC inspections and also provided us with excellent feedback that we were operating at “best practices” standards.

IMG_0348

For any practice involved with Denplan and considering the Excel programme, I would recommend it. It has helped to develop and grow the practice by attracting new patients and enabling broad Street Dental Practice to stand out a little from the crowd!

Think before you Drink!

At Broad Street Dental surgery we have been introducing our local nurseries to the dental environment and also providing basic oral health education and advice. The dental nurses at the practice spent some time creating a very simple but effective display showing the amount of sugar in many of the most common drinks consumed by children and adults today.

sugar

The amount of sugar in each drink was weighed and displayed beneath each product and was displayed in the waiting room of our dental practice. Even though the quantity of sugar is labelled on each drink, the quantity of sugar still caused much debate and astonishment amongst our patients.

This simple display clearly demonstrates the continuing need to educate patients with regards to sugar and diet and a need for clear labelling. Making traffic light labelling compulsory on all packaging or showing sugar content in teaspoons on the front of packaging as described by Jamie Oliver in his “Sugar Rush” TV show would clearly be a vast improvement to the current labelling system allowing patients to make an informed decision on the products that they and their children consume.

Dr Nigel Carter OBE, Chief Executive of the British Dental Health Foundation, highlighted why the charity is adding their voice to the calls for change: “The effects that sugar consumption is having on children’s dental health cannot be understated. Shockingly, a recent study found half of eight year olds have visible signs of decay on their teeth and a third of children are starting school with visible signs of tooth decay.

“Tooth decay is the number one reason for hospitalisation in children and that 26,000 primary school aged children were admitted to hospital due to tooth decay last year, with children tooth extractions costing the NHS around £30 million per year, the key cause being tooth decay. This cannot be allowed to continue.”

Early tooth decay can have no obvious symptoms, but your dental team may be able to spot a cavity in its early stages when they examine your teeth. This is why you should visit your dental team regularly, as small cavities are much easier to treat than advanced decay.

If you are unsure if you or your child has the early signs of dental decay the please book an appointment at Broad Street Dental Surgery

Andrew Farr  Dentist BDS MJDF

 

 

Toddlers Toothbrush Tantrums!

I was emailed this question a few months ago and with all the media relating to a Sugar Tax thought it quite relevant. The fact that a sugar tax will help with the reduced consumption the need to maintain good oral hygiene with fluoride toothpaste still heavily out weights any taxation.

“My toddler hates brushing his teeth and it is often a struggle and tears before bed. Is it absolutely necessary to brush a toddler’s teeth everyday or can I do every other day if he is rejecting the toothbrush?”

By the age of 2½ – 3 years a toddler will usually (but not always) have all of their milk teeth (deciduous) through. That’s 20 teeth, 10 in the upper jaw and 10 in the lower. These deciduous teeth begin to exfoliate around the age of 5½ however the molar’s will not be lost until 11-12 years of age, so these teeth need to be looked after and maintained for many years.

A recent study by the Royal College of Surgeons “The State of children’s Oral Health in England” found that almost a third of five year olds in England are suffering from dental decay and that the average child with decay has at least three teeth affected. Moreover, dental caries is the number one reason why children aged 5-9 years are admitted to hospital in England, even though it is completely preventable through regular brushing, adequate exposure to fluoride and limiting sugar consumption.

The government tool kit Delivering better Oral Health recommend all children brush twice daily with fluoridated toothpaste, brushing last thing at night and at one other instance. Children aged 0-3years should use toothpaste containing no less than 1000ppm fluoride and children 3-6years should use toothpaste containing between 1350-1500ppm of fluoride (the levels can be found on the back of your toothpaste).

Children’s teeth are more susceptible to decay than adult teeth. They have thinner and less resilient enamel. Brushing your toddlers teeth twice a day is important for your toddler’s oral health.

Fluoride helps to battle the effects of sugar and remineralises (re-hardens) the tooth surface. Their teeth would have undoubtedly been exposed to sugary foods which can manifest as intrinsic (such as milk, fruits) and extrinsic (confectionary, chocolate). Plaque starts to colonise the tooth surface and establish within 24 hours of brushing. Dental plaque bacteria can ferment both intrinsic and extrinsic sugars to acids. The acid produced dissolves the enamel of the teeth. All carbohydrate-containing foods (intrinsic and extrinsic sugars and starches) have the potential to contribute to tooth decay. Each time we nibble a food or sip a drink containing carbohydrates (intrinsic or extrinsic sugars or starch), any decay-causing bacteria present on the teeth start to produce acid and demineralisation commences. This continues for 20 to 30 minutes after eating or drinking, longer if food debris gets trapped between the teeth or remains in the mouth.

Brushing a toddler’s teeth can be challenging, try to make it fun. Brush your teeth together, allow your toddler to brush your teeth and to play with the brush. If your toddler can see that you are getting worried, then it will only increase their anxiety.

Try different flavoured toothpastes, different themed toothbrushes like their favourite cartoon character. Try explaining the importance of brushing your teeth and if you have other sibling brush their teeth first making it more of a family event. With a positive, fun environment I am sure that your toddler will soon enjoy brushing their teeth. If you have any concerns then visit your dentist and they will be able to show you some good techniques.

The image shown is of the new BugBrush which we stock at our practice and is a great tool to aid with maintaining your little-ones oral hygiene.

All children should attend a dentist as early as possible. Even before the first tooth erupts! They can acclimatise to the surgery, equipment and staff and before you know it they’ll be in and out of the chair demanding stickers!

 

 

 

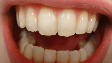
Dentist Andrew Farr QST – Wedding

Dentist Andrew Farr presents a case of short term Orthodontics using the Quick Straight Teeth system.

qst1

AJ a 26 year old female complained of lower arch crowding plus a midline diastema.  She was to be wed later in the year an was very interested in short term orthodontics as it was a quick and reasonably priced treatment option to improve her smile and confidence for the big day.

Dentist Andrew Farr took pre-operative photographs and radiographs. A full clinical, dental and periodontal assessment was completed.

Upper and lower fixed appliance was used to align the upper and lower anterior segments and to close the midline diastema. Dentist Andrew Farr worked through the simple system provided by QST and provided both bonded and removable retainers to reduce the risk of relapse.

The patient was extremely please with the results and the wedding day was a complete success!

qst after

All images are reserved and copyright of Dentist Andrew Farr

#QST #Braces

› Four issues which will define dentistry in 2016 | British Dental Health Foundation

With the New Year well and truly underway, what lies ahead for dentistry in the coming year? In a year which promises to shake up the future of the nation’s oral health for years to come leading oral health charity the British Dental Health Foundation has taken a look at what it believes will be some of the defining issues of dentistry in 2016.

 

Source: › Four issues which will define dentistry in 2016 | British Dental Health Foundation

Andrew Farr Dentist

Andrew Farr Dentist Hereford.

I am a registered Dental surgeon working in the heart of Hereford at Broad Street Dental Surgery. Broad Street Dental Surgery

With over 8 years experience from general dentistry, gum disease and Adult Orthodontics (braces). Hopefully this blog will help current patients, future patients and any one who has any questions or queries about Dentistry.

Broad Street Dental Surgery is a brand new “state of the art” Dental Practice which has recently been accredited as Denplan Excel ensuring high quality dental services.

Today unfortunately we had to say goodbye to Steve the Snowman

 

snowman

Broad Street Dental Surgery