Looking to replace that missing tooth or worried about what to do if you loose a tooth?
At Broad Street Dental Surgery, we can help guide you through the all the options from dentures, bridge and even dental implants.
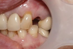
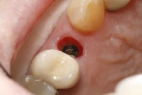
A Dental implant is an artificial replacement for a tooth root. They are a highly effective and potentially long-lasting way to replace missing teeth. A titanium post is placed in the jawbone and over time your own bone grows on the surface of the implant causing it to fuse with the body. The post can then be used as a foundation to support dental crowns, bridgework or to stabilise dentures.
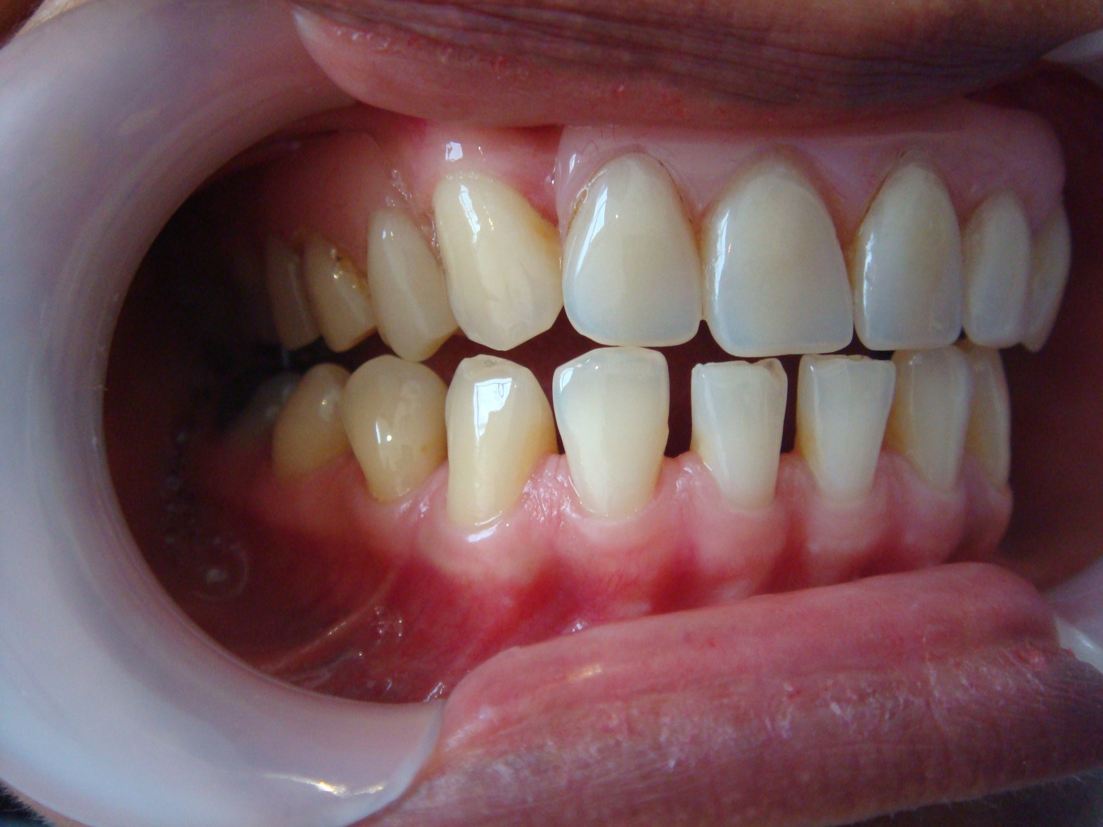
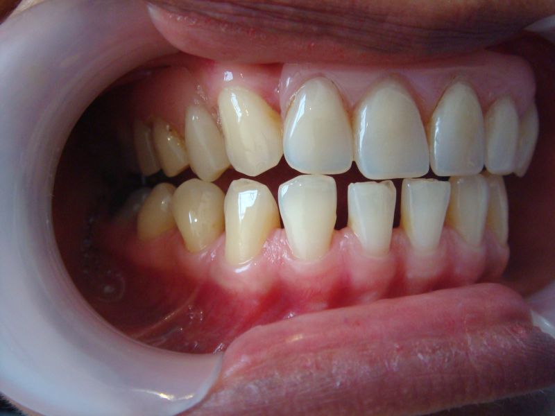
As well as restoring your smile, dental implants have a number of major benefits including enhanced eating and speaking ability, prevention of shrinkage to the jaw bone after tooth removal and improved confidence.



Our team has a wealth of experience in dental implants and can help answer any question you may have. We take the care to provide you with a pleasant, pain free experience and will talk you through the entire process.
What are dental implants used for?
Dental implants are becoming increasingly popular as they are the gold standard for replacing missing teeth. We use our mouths and our smiles every day to communicate and it can be worrying if you lose some of your teeth. This can affect your confidence, making daily life more of a struggle. With dental implants, you can replace just a single tooth or even multiple teeth if you require a larger dental restoration. They can be fixed or removable depending on what suits your situation best. It is important to remember that not everyone is suitable for a dental implant. Your suitability will depend on your circumstances, general health and what you hope to get out of the procedure. All of this can be discussed during a consultation with your dentist to help you make an informed decision.
How much do dental implants cost?
It is hard to give an estimate of cost before we know more about you and the reason why you want dental implants. A consultation allows us to discuss your goals, look at your teeth more closely and offer a range of options that you might not have considered yet. It is hands-down the best way to provide an accurate estimation for you.
The overall price will depend on your suitability, your expectations and your circumstances. Another factor to consider is how many of your teeth need restoring. The more teeth that need replacing, the more expensive the treatment will be.
Finance is now available at Broad Street Dental Surgery and we can now spread the costs over 6,12,24 or 36 months!
How long do dental implants last?
Our dental implants are made with durable materials and they are built to last. However, maintaining them after the procedure is vital to keeping you healthy and prolonging the lifespan of your implant. As with our natural teeth, ceramic prosthetics can chip, stain and wear away. If they become damaged, they will need replacing, which might factor into your decision. The first indication about how long they will last comes a few months after the procedure. It takes time for bone to grow on the implant surface and for your implant to be accepted by your body. There is a 95% success rate for this when you follow aftercare advice carefully.
Another potential factor is the development of gum disease. This is more likely if you’re a smoker, if you do not clean your implant thoroughly and frequently and if you don’t go to your checkups with a dentist or hygienist. If the implant titanium screw remains healthy, replacing the attached prosthetic should be a routine procedure, but it can be costly.

Are dental implants painful?
Dental implants are like any other minor surgical procedure. We use a local anaesthetic to ensure the area being treated is numb for a few hours, so the procedure will not be painful. Once you are out of surgery, it’s normal to feel discomfort for the first few days. This can be managed with over-the-counter painkillers and by following aftercare instructions to encourage the healing process. After a few days, this discomfort should pass. Your new implant may feel strange as you grow accustomed to it, but it should not be uncomfortable after a few days. We can guide you through the aftercare process so that you know exactly what to expect.
How long does a dental implant procedure take?
Like the cost of the procedure, the amount of time you will spend in the chair will depend on a number of factors. It will be shorter if you are only having one implant, but a longer procedure for multiple implants. How long it takes will also depend on the complexity of the procedure. We can look at your mouth and take scans that will help us advise on how long the procedure will take, but it does vary on a case-by-case basis. If you are having teeth removed on the same day, this will also result in a longer procedure. From experience, we estimate a dental implant procedure taking between 45 minutes and a few hours, but we can offer a more accurate estimation after your first consultation with us.
If you would like to know how dental implant can restore you smile and confidence, then please visit us by calling 01432 266899.
Andrew Farr BDS(Hons) MCGDent















