This patient presented a few weeks following a fall where all four Maxillary incisors were damaged. The delay in presentation was due to her upper lip being extremely swollen and painful that she did not want any sort of examination of her dentition.

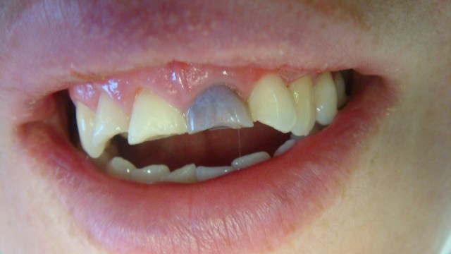
As shown above the maxillary left central incisor has a complex dentine-enamel fracture and has devitalised. The Maxillary right central incisor also has a complex dentine-enamel fracture. Both lateral incisors have dentine enamel fracture with no pulp exposure and were extremely sensitive to air.
Both central incisors were root treated and due to the discolouration a crown was recommended. To improve the aesthetic outcome it was decided to crown both central incisors as a pair. The lateral incisors were treated with Filtek Supreme composite and Synergy enamel shades.

The patient was very happy with the final restoration.
Andrew Farr BDS(Hons), MJDF Associate Dentist at Broad Street Dental Surgery
@DentistHereford

